Ud. esta en:
Presentación >> Casos Clinicos >> Fractura de meseta tibial Schatzker tipo VI

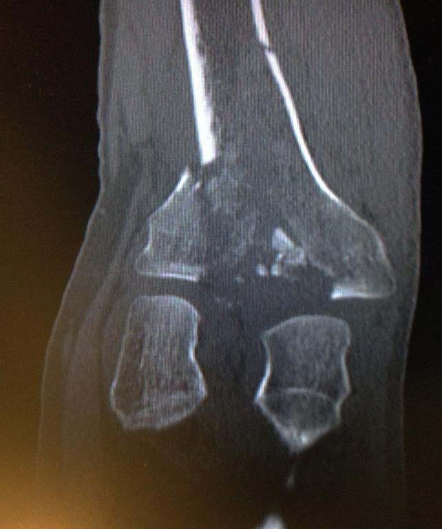
Fractura de meseta tibial Schatzker tipo VI

Caso clínico

Fractura de meseta tibial Schatzker tipo VI, resuelta con placa y tornillos por un doble abordaje anterolateral y posteromedial. Se consigue una superficie articular equilibrada y un balance articular completo del paciente (Dr. Cebreiro).